Lumia 1020: under the photo microscope
Last month a scientific paper was published in the renowned journal Histopathology. The authors claimed the Lumia 1020 could revolutionise the medical research world.

Dr. Mark Li-cheng Wu and Dr. John Paul Graff are prominent figures in the field of photomicrography. They’re also self-proclaimed Lumia fanboys. Now, it doesn’t take a genius in a white lab coat to work out that there’s the potential for some exciting crossover.
In fact, the pair’s marrying of PureView technology and state-of-the-art microscopes has suggested that histopathology (examination of body tissue to study disease) may benefit people in a way that was once not possible.
Although a few outlets covered the news last month, we felt that the bigger, more important story wasn’t being told. So we spoke to the duo for a first-hand account of why they chose the Lumia 1020 and how their technology is, quite literally, saving lives.
So guys, I read that you used the Lumia 1020 in the real world, with real patients. Is this true?
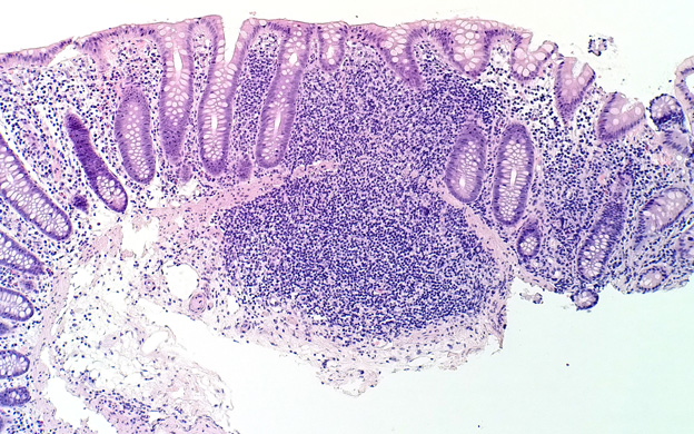
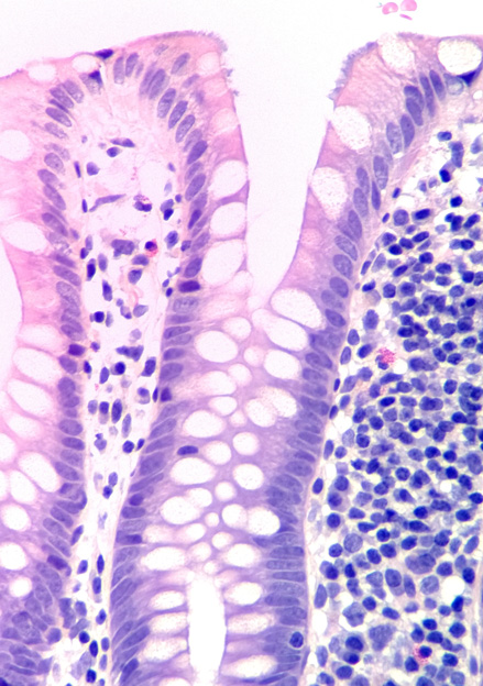
Dr. G: We used this technology with a patient who is HIV positive and is subsequently infected with the intestinal spirochetosis, a bacterial infection that can cause severe diarrhea. However, the diagnosis is very difficult because of the size of the bacterium – it’s smaller than a red blood cell at just a few microns long.
Nevertheless, we were able to take a photo with the Lumia 1020 on a low magnification and then zoom in significantly to identify the bacteria so it could be properly treated.
You can then continue to enhance this image to see subtle features such as the shapes of cells, the colours of cells, how big or small they might be and if there’s any smaller parasitic infections lying within it.
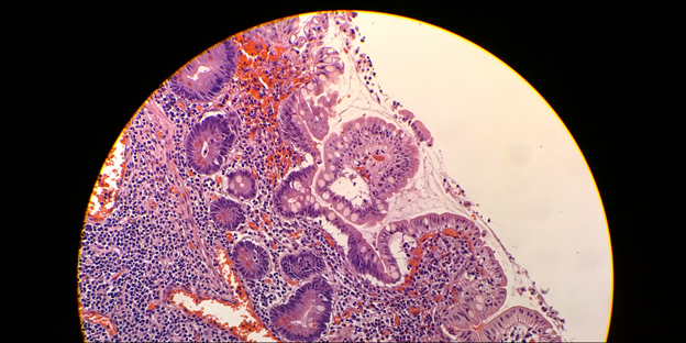
Dr. W: We actually forgot to mention in the paper that the pictures we provided underestimate the power of the Lumia. We showcased the regular JPEG images, rather than the RAW DNG photos, which show off far greater detail that what was actually published. Granted, they’re huge files and less practical in terms of storage, but as far as the quality of the picture goes, they’re so much more detailed.

But what made you choose the Lumia 1020 over other mobile phones?
Dr. G: There are several reasons. Firstly, the exuberant amount of megapixels. Secondly, the OIS (optical image stabilisation) allows for handheld photographs through the barrel of the microscope’s ocular. As soon as the OIS is engaged, those ball-bearings kick in and start to weasel out your hand motions, you can take a very clear picture very quickly.
The third aspect relates to the pixel size itself on the sensor. The 1.01 microns-per-pixel ratio allows for lossless zoom in the microscopic realm – there’s a subtle interplay with light through the glass slide and the glass objectives of the microscope.
This can reduce the perceived resolution of an image even to the naked eye. However, at this small ratio you can get the most bang for your buck when you take a picture.
And what makes a mobile device great for what you’re doing?
Dr. W: (shows us the Lumia and microscope setup) – you see how the current scope-mounted camera is fixed? You can’t move it from microscope to microscope. With a phone, you have so much more flexibility.
Does this setup make it easier to work in the field?
Dr. G Absolutely. One of the big advantages you also have using a Microsoft-based operating system in hospitals (at least here in America), is that most of the computer networks, wherever you go, are Microsoft Windows based. The Lumia interplays with everything very smoothly so you can send files to OneDrive or secured shared drives quickly.
So, are you saying that the Lumia 1020 can, in real scientific use, replace the traditional scope-mounted camera?
Dr. W: In our paper there are references to other articles that have explored using point-and-shoot cameras and smartphones that attempt to replace the traditional photomicroscope, but there are so many limitations due to simply not having as good optical imaging stabilisation as the Lumia 1020.
Affixing anything to a microscope leaves a huge footprint. Because everything is built into the Lumia 1020, you don’t have these issues, nor blur. Relative to what traditional scope-mounted cameras cost (in the tens of thousands), the Lumia 1020 is also very cheap.
For the first time, we’ve legitimately shown that you can replace the traditional scope with a Lumia 1020. We have to carry out some more tests but we’ve got a whole bunch of stuff going on that we think will go very far in showing what the Lumia is really capable of.
How long have you been using a Lumia 1020 for your research?
Dr. G: About ten months. Now that I’ve used it for so long, it’s hard for me to go back to the traditional scopes due to the time and effort it takes to take a picture.
When you’re looking through the scope and you see something that’s interesting, or you need to consult rapidly on it, in a matter of 30 seconds the Lumia can have your picture taken, saved and sent to somebody else.
Whereas, with this (points to the traditional scope), you need to open up proprietary software and, once that’s saved, the resolution is – in my opinion – not as good as the resolution that’s achieved by the Lumia 1020, which is very impressive.
Since this is a smartphone, I can write code for it and build my own apps. I come from a computer science background so I’m trying to create apps that will make our lives easier, such as controlling the microscope wirelessly.
My idea is that everything is portable; meaning you can do away with the proprietary desktop software and the larger machines that need to be carried about.

If you could redesign the Lumia 1020 to help your research further, what would it look like?
Dr. W: That’s a tricky question. We’re all geeks and you can never satisfy a geek!
I’d like to see improved battery life as it would make work away from a power source more flexible. Integrated wireless charging would be great! Now that we’ve got the potential of using huge files, a memory-card slot would be most welcome, but I understand that the more you add, the more you potentially compromise. Like I say, us geeks are never satisfied!
Dr. G: We’ve affectionately named our Lumia 1020 ‘bumblebee’ as it floats around and stings the photos very quickly. We like to think of it pollenating your mind with pathology!
While the quality of the Carl Zeiss lens plays a huge role in our ability to zoom through the photo, when you’re dealing with 1.01 micron-detail, any dust or imperfections show up, so a lens cover built into the device would be incredibly useful for us.
If the capture rate could be upped, that would also allow the saving of files to be a bit quicker. If the resolution was increased, we can diagnose things like malaria.
Oh, and running with Cortana would be cool!
However, right now we see the potential of using the Lumia 1020 as a huge diagnostics tool and that is very exciting.
Dr. Mark Li-cheng Wu and Dr. John Paul Graff would like to state that the views expressed here do not necessarily reflect those of UCI.